Behandeling bij een gebroken heup
U heeft uw heup gebroken. Dat is een ingrijpende gebeurtenis, waarvoor u veel zorg nodig heeft. In HMC Westeinde zijn wij gespecialiseerd in de behandeling van uw gebroken heup. Wij opereren meer dan 500 heupfracturen per jaar. Hieronder leest u alles over opname, operatie, revalidatie en controle op de polikliniek.
Afspraak en contact
Heupfractuurcentrum;
afdeling C11 (11e etage)
088 979 2192
HMC Westeinde
Lijnbaan 32, 2512 VA Den Haag
Dienstdoende afdelingsarts te bereiken via de afdelingssecretaresse van C11
Locatie
HMC Antoniushove
AdresBurg. Banninglaan 1, 2262 BA Leidschendam
BewegwijzeringAntoniushove
HMC Cijfers
205.000
eerste polikliniek consulten
32.000
klinische opnames per jaar
155.000
verpleegdagen
60.000+
patiënten per jaar op de SEH
350
medisch specialisten
Anchors
Over behandeling bij een gebroken heup
U heeft uw heup gebroken. Dat is een ingrijpende gebeurtenis, waarvoor u veel zorg nodig heeft. In HMC Westeinde zijn wij gespecialiseerd in de behandeling van uw gebroken heup. Wij opereren meer dan 500 heupfracturen per jaar. Hieronder leest u alles over opname, operatie, revalidatie en controle op de polikliniek.
Als u uw heup heeft gebroken, komt u eerst op onze Spoedeisende Hulp (SEH). Daar verzamelen we alle gegevens van u die we nodig hebben. Als alle voorbereidingen klaar zijn, brengen we u naar verpleegafdeling C11. Een team van ervaren artsen opereert u meestal binnen 24 uur nadat u binnen bent gekomen bij de SEH.
Belangrijk om te weten
|
Op deze webpagina vindt u informatie over:
- de breuk
- de Spoedeisende Hulp
- de verpleegafdeling
- de operatie
- aandachtspunten na de operatie
- het ontslag
- de heupfractuurpolikliniek
- wetenschappelijk onderzoek
- belangrijke adressen en telefoonnummers
Wij wensen u alvast een goed herstel toe!
De breuk
Welke soort breuk heeft u?
Op de Spoedeisende Hulp hebben we röntgenfoto’s gemaakt van uw heup. Op die foto’s zien we welk type (welke soort) breuk u heeft. Hieronder leggen we de typen breuk uit.

| A. | Pal onder de kop. |
| B. | In de hals onder de kop. |
| C. | Tussen het binnenste en buitenste uitsteeksel van uw bovenbeen |
| D. | Onder het binnenste en buitenste uitsteeksel van uw bovenbeen |
| E. | Alleen een deel van het buitenste uitsteeksel van het bovenbeen |
| F. | Alleen een deel van het binnenste uitsteeksel van het bovenbeen |
De breuk die u heeft, komt het meest overeen met type (omcirkelen door de arts):
| A | B | C | D | E | F |
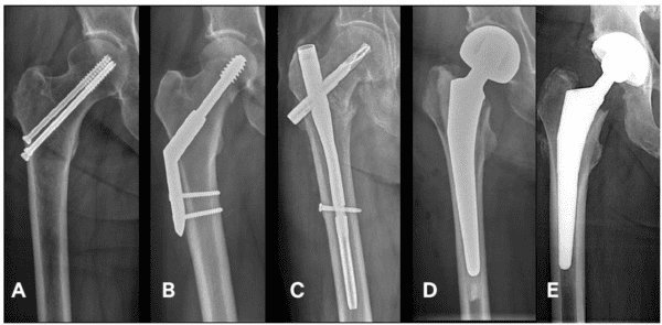
Welke operatie krijgt u?
Het type breuk, uw leeftijd, hoe goed u kunt bewegen en uw algemene conditie: samen bepalen ze welke operatie u kunt krijgen.
De operaties die het meest voorkomen bij een gebroken heup staan hieronder:
| A | Drie holle schroeven in de kop (CHS). |
| B | Een plaat tegen het bot met een grote schroef in de kop (DHS). |
| C | Een pen in de mergholte met een spiraal in de kop (PFNA). |
| D | Een vervanging van de kop van het bovenbeen (KHP). |
| E | Een vervanging van de kop van het bovenbeen en de kom van het bekken (THP). |

De operatie die waarschijnlijk bij u gaat plaatsvinden, is (omcirkelen door de arts):
| A | B | C | D | E |
Het kan zijn dat de arts tijdens het opereren toch kiest voor een andere soort operatie. Na de operatie zullen we u dan uitleggen waarom we dit hebben gedaan.
De Spoedeisende Hulp
Wij proberen de tijd die u op de Spoedeisende Hulp bent zo kort mogelijk te houden. Maar voordat we u naar de verpleegafdeling kunnen brengen, moeten we een aantal voorbereidingen doen.
Deze voorbereidingen zijn:
- Röntgenfoto’s: We maken minstens 3 foto’s van uw heup. Als het nodig is, maken we ook een foto van de borstholte. Daarop kunnen we zien hoe het met uw longen gaat.
- Bloedonderzoek: Wij nemen bloed bij u af. Zo kunnen we enkele belangrijke bloedwaarden bepalen. Bijvoorbeeld hoeveel ijzer er in uw bloed zit en hoe goed uw lever en nieren werken. De bloedwaarden moeten we weten voordat we u opereren. Gebruikt u bloedverdunnende medicijnen? Geef dit dan alstublieft door aan de arts.
- Hartfilmpje/ECG: Bent u 60 jaar of ouder of heeft u hartklachten (gehad)? Dan maken we een hartfilmpje.
- Infuus: We brengen een infuus (kunststof buisje) in een ader in uw arm. Via dit infuus krijgt u vocht en medicijnen. Vlak voor de operatie geven we u antibiotica via het infuus. U krijgt dit medicijn om te voorkomen dat u een infectie krijgt van de operatiewond. Bent u allergisch voor antibiotica of andere medicijnen? Dan horen wij dat graag van u.
- Katheter: We brengen een slangetje (katheter) in uw blaas. Daardoor hoeft u voor, tijdens en na de operatie niet uit bed te komen om te plassen. Aan de katheter maken we een opvangzakje vast. Hiermee kunnen we zien hoeveel u plast.
- Verdoving: U krijgt een prik in de lies met een plaatselijke verdoving. Deze prik heet een FICB-blok. De verdoving werkt snel. Ze maakt de pijn minder. Soms zorgt de prik ervoor dat u lang zelfs helemaal geen pijn meer heeft. U heeft door de prik minder pijnstillers nodig die u suf kunnen maken. Het plaatsen van een FICB-blok kan niet op elk moment van de dag. Soms kiezen we daardoor voor andere medicijnen tegen de pijn.
- Medicijnen: Fouten met medicijnen zijn een van de grootste risico’s bij opname in het ziekenhuis. Daarom doen we er veel aan om dit soort fouten te voorkomen. We controleren samen met andere zorgverleners (bijvoorbeeld de apotheek) of alles goed gaat met uw medicijnen als u in het ziekenhuis ligt.
- Reanimatiebeleid: De kans dat er tijdens of na de operatie iets fout gaat, is heel klein. Toch willen we bij sommige patiënten van tevoren weten of we hen moeten reanimeren als er iets mis gaat. Reanimeren is het proberen om uw hart en ademhaling weer op gang te krijgen als die ermee stoppen. Veel mensen hebben een duidelijke mening over reanimatie. Die willen wij graag respecteren.
- Vragenlijsten: De verpleegkundige zal een aantal vragenlijsten met u doornemen. Zo kunnen we zien hoe het lichamelijk en geestelijk met u gaat. Deze informatie helpt bij het plannen van de zorg die u nodig heeft om weer helemaal te herstellen.
Spullen die u nodig heeft
Vraag uw familie of uw contactpersoon om de volgende spullen voor u op te halen:
- Een geldig legitimatiebewijs (paspoort, rijbewijs of identiteitskaart). Nadat we uw legitimatiebewijs gezien hebben, mag u dit weer meegeven aan uw familie of contactpersoon als u dat wilt.
- Een geldige zorgverzekeringspas.
- Ondergoed, nachtkleding en een ochtendjas.
- Pantoffels (geen slippers) en stevige schoenen.
- Gemakkelijke kleding voor overdag.
- Toiletspullen (tandpasta, tandenborstel, deodorant, enzovoorts). Handdoeken en washandjes hebben we in het ziekenhuis voor u.
- Medicijnen die u thuis gebruikt (in de verpakking waarin de medicijnen zijn geleverd). Een uitdraai van de apotheek waarop de medicijnen staan die u thuis gebruikt, kan ook. Die uitdraai heet ook wel een actueel medicatieoverzicht (AMO).
- Elleboogkrukken (die kunt u huren bij een thuiszorgwinkel).
Het ziekenhuis is niet aansprakelijk als u uw spullen kwijtraakt. Laat daarom geld en andere waardevolle spullen (zoals sieraden) naar huis brengen.
We vragen u of uw familie of u zelf vervoer kunt regelen als u vertrekt uit het ziekenhuis. Lukt dat niet? Dan zorgen wij voor een rolstoeltaxi. U heeft in dat geval contant geld nodig op de dag van vertrek uit het ziekenhuis. Daarmee kunt u de kosten betalen van de rolstoeltaxi (± 50 euro). Het geld voor de taxi kunt u een dag voordat u het ziekenhuis verlaat laten opbergen in een kluisje op de verpleegafdeling.
De verpleegafdeling C11
Zodra u op de verpleegafdeling bent, neemt een verpleegkundige enkele medische en algemene vragenlijsten met u door. Die gaan over de onderwerpen die hieronder staan.
Opname
De verpleegkundige houdt eerst een opnamegesprek met u. Dit gesprek gaat over medische onderwerpen. Maar ze praat ook met u over hoe u woont en hoe goed u kon bewegen voordat u uw heup brak. Verder bespreekt de verpleegkundige met u wie uw contactpersoon wordt zolang u in het ziekenhuis ligt. De contactpersoon kan bijvoorbeeld uw partner, een ander familielid of een vriend/vriendin zijn.
De verpleegkundige controleert of we al uw gegevens hebben. Ook kijkt ze of alles is geregeld voor uw opname in het ziekenhuis en uw operatie. Ze controleert bijvoorbeeld of het bloedonderzoek is gebeurd, of u een katheter heeft gekregen en of u de goede medicijnen tegen de pijn heeft gehad. De verpleegkundige zal u binnen 24 uur aanmelden bij het Transferbureau. Het Transferbureau regelt de zorg nadat u weer uit het ziekenhuis bent.
In de war raken (delier)
Een deel van de patiënten met een gebroken heup kan in de war raken. Dit kan gebeuren door de opname in het ziekenhuis, de operatie, de narcose (verdoving) tijdens de operatie of door pijnstillers. We noemen dit in de war raken een delier. Met een vragenlijst bepaalt de verpleegkundige of u meer risico heeft op een delier.
Heeft u meer risico om in de war te raken? Dan houden we 3 keer per dag een speciale scorelijst bij. Door die scorelijst merken we het snel als u in de war raakt. We kunnen u dan behandelen.
Voeding
Het is belangrijk voor het herstel na uw operatie dat u niet ondervoed bent. Met een vragenlijst controleert de verpleegkundige of u ondervoed bent of dat u meer risico heeft om ondervoed te raken. Is dat bij u zo? Dan geven we u eten met extra energie en eiwitten. Ook komt dan de diëtiste bij u langs. Zij geeft advies over eten en drinken.
Doorliggen (decubitus)
Ligt u lang in bed of zit u lang op een stoel? Dan bestaat de kans dat u doorligplekken of doorligwonden krijgt. Dit noemen we ook wel decubitus. Deze wonden genezen moeilijk en kunnen heel diep zijn. Wij willen samen met u proberen om doorligwonden te voorkomen.
De verpleegkundigen controleren uw huid elke dag. Verder nemen ze maatregelen om doorligwonden te voorkomen. U leest meer op de webpagina over decubitus.
Vallen voorkomen
Wij gebruiken een scorelijst om te zien of u meer risico heeft om te vallen. Heeft u meer risico om te vallen? Dan regelen we een loophulpmiddel voor u. Bijvoorbeeld krukken, een rekje of een rollator. Soms schakelen we ook een internist ouderengeneeskunde voor u in. Dit is een arts die is gespecialiseerd in de behandeling van ouderen. We geven u ook informatie over het voorkomen van vallen in het ziekenhuis.
Voorbereidingen op de operatie
Voordat we u opereren, doen we enkele voorbereidingen. Deze voorbereidingen zijn:
- U krijgt speciale operatiekleding aan.
- Geef alstublieft uw juwelen, horloge en andere kostbaarheden af aan uw contactpersoon.
- Heeft u een kunstgebit of losse elementen (bijvoorbeeld een brug of een plaatje) in uw mond? Dan mag u die niet in houden tijdens de operatie. Voor de operatie zal de verpleegkundige u vragen om ze veilig op te bergen.
- Voor alle patiënten geldt:
- U mag gewoon eten en drinken tot 6 uur voor de operatie.
- Tot 2 uur voor de operatie mag u nog heldere dranken drinken. Dit zijn water, koffie en thee zonder melk, heldere vruchtensappen en limonade zonder koolzuur.
- Daarnaast geven we u Nutridrink en Preop-dranken. U krijgt deze dranken van de zorgondersteuners of verpleegkundigen.
- Vanaf 2 uur voor de operatie mag u niets meer eten en drinken. Opereren we u om 12.00 uur? Dan mag u dus vanaf 10.00 uur niets meer eten of drinken.
- We moeten de operatie minstens 6 uur uitstellen als u toch nog eet of drinkt in de periode waarin dit niet meer mag. Dat moeten we zelfs doen als u maar heel weinig heeft gegeten of gedronken.
- Opereren we u de volgende dag? Dan mag u vanaf 24.00 uur ’s nachts niets meer eten of drinken.
- Bepaalde medicijnen mag u blijven innemen met een slok water. Vraag wel eerst aan de verpleegkundige of zaalarts of dit mag als u eigenlijk niets meer mag drinken voor uw operatie.
De operatie
U krijgt voor de operatie verdoving van de anesthesist. Een anesthesist is een arts die is gespecialiseerd in verdoving en pijnbestrijding. De anesthesist zal samen met u bepalen welke verdoving voor u het meest geschikt is. Voor een heupoperatie bestaan twee verschillende soorten verdoving:
- Plaatselijke verdoving met een ruggenprik.
- Narcose. Als u narcose krijgt, dan gaat u een tijdje slapen.
Een ruggenprik
Voordat u een ruggenprik krijgt, geven we u eerst via het infuus een slaapmiddel. Hierdoor gaat u kort slapen. Daardoor voelt u bijna niets van de ruggenprik. Na het plaatsen van de ruggenprik, wordt u bijna meteen weer wakker. U heeft dan tijdelijk geen gevoel in uw onderlichaam.
Tijdens de operatie blijft u gewoon wakker. U kunt alles om u heen horen en zien. Als u dit vervelend vindt, kan de anesthesist u een slaapmiddel geven. U valt dan in een lichte slaap. Daardoor merkt u weinig tot niets van de operatie. Voordat we met de operatie beginnen, testen we altijd eerst of de ruggenprik goed werkt.
Na de operatie:
- Het kan zijn dat u misselijk bent. Misschien moet u ook overgeven. Laat het direct weten aan ons als u misselijk bent. Wij hebben goede medicijnen tegen de misselijkheid.
- Het kan gebeuren dat u uw onderlichaam een tijd lang niet goed kunt bewegen. U hoeft daar niet ongerust over te zijn. Dit is normaal en gaat na een paar uur vanzelf weer over.
Narcose
Bij narcose brengt de anesthesist via het infuus medicijnen in uw bloed. U valt daardoor binnen een minuut in een diepe slaap. Tijdens de operatie geven we u zuurstof via een plastic pijpje in uw luchtweg.
U merkt door de narcose niets van de operatie. Pas na de operatie wordt u weer wakker. Meestal bent u dan al op de uitslaapkamer. De meeste mensen hebben het gevoel dat ze direct na het in slaap vallen weer wakker zijn geworden. In werkelijkheid is het al een paar uur later.
Na de operatie:
- Het kan zijn dat u langere tijd slaperig bent. Dit gaat vanzelf over.
- Het kan zijn dat u misselijk bent. U moet misschien ook overgeven. Laat het direct weten aan ons als u misselijk bent. Wij hebben goede medicijnen tegen de misselijkheid.
- U heeft misschien pijn in uw keel. Dit komt door het plastic buisje dat in uw luchtpijp heeft gezeten. Die pijn in de keel gaat vanzelf weer over.
De operatie
Uw operatie duurt tussen 1,5 uur en 3 uur. Hoe lang de operatie precies duurt, ligt aan het soort breuk en de soort operatie die u krijgt. Na de operatie blijft u enkele uren op de uitslaapkamer. ’s Avonds en ’s nachts gebruiken we de Intensive Care als uitslaapkamer. Schrik er niet van als u wakker wordt op de Intensive Care. In totaal kunt u 5 uur of langer weg zijn van de verpleegafdeling.
Bij sommige patiënten besluiten we om nog een aantal extra controles te doen. We brengen u daarvoor dan naar de Intensive Care, als u daar nog niet was. We weten niet altijd voor de operatie of de extra controles nodig zijn.
Na de operatie
Communicatie
Na de operatie belt de arts uw contactpersoon. De arts vertelt uw contactpersoon hoe de operatie is gegaan. Als u genoeg hersteld bent van de operatie, brengen we u naar de verpleegafdeling. De verpleegkundige belt uw contactpersoon zodra u terug bent op de verpleegafdeling.
De volgende morgen komt de chirurg of de zaalarts bij u langs. Hij of zij zal u vertellen hoe de operatie precies is gegaan. Ook krijgt u informatie over hoe uw herstel waarschijnlijk zal gaan.
Uw contactpersoon kan ook zelf bij de verpleegkundigen van de afdeling vragen hoe het met u gaat. We vinden het fijn als hij of zij dit na 11.00 uur ’s ochtends wil doen. De verpleegafdeling is op de 11e verdieping van HMC Westeinde. Het telefoonnummer is 088 979 21 92. Mensen kunnen u tussen 15.30 – 19.30 uur bezoeken op de verpleegafdeling.
Controles
We kijken op de verpleegafdeling naar het verband om de wond. We doen dit om te zien of de wond heeft doorgelekt. Ook controleren we regelmatig uw bloeddruk, hartslag, temperatuur en soms hoeveel u plast. De dag na de operatie prikken we bloed bij u. Dit bloed onderzoeken we.
Hebben we uw heupkop vervangen door een prothese (kunstkop)? Dan maken we de dag na de operatie een controle foto van de heup. In andere gevallen hebben we tijdens de operatie al controle foto’s gemaakt.
Pijnstilling
Heeft u pijn na de operatie? Wacht dan niet. Laat het direct weten aan de verpleegkundige. U krijgt dan extra pijnstilling. Voor uw herstel is het belangrijk dat u zo weinig mogelijk pijn heeft.
De verpleegkundigen komen minimaal 3 keer per dag bij u langs om te vragen hoeveel pijn u heeft. Zij zullen u vragen om uw pijn een cijfer tussen 0 en 10 te geven. 0 betekent daarbij geen pijn en 10 de ergste pijn die u zich kunt voorstellen. U kunt nooit een verkeerd cijfer geven. Het is altijd persoonlijk hoeveel pijn u voelt.
Doorliggen (decubitus)
Het is heel belangrijk om doorligwonden te voorkomen. Deze wonden genezen namelijk erg slecht. U kunt ook zelf helpen om doorligwonden te voorkomen:
- Probeer goed te eten en te drinken.
- Leg een kussen onder uw onderbeen, zodat uw hiel de ondergrond niet raakt.
- Probeer regelmatig anders te gaan liggen en zitten.
- Gebruik zeep zonder parfum.
- Til uw billen op als u anders gaat zitten. Probeer niet te schuiven in bed.
Verwardheid (delier)
Veel oudere mensen kunnen door de breuk, de opname, de pijn of de medicijnen in de war raken. Dit heet een delier. U kunt hierdoor anders reageren dan normaal. Het kan zijn dat u uw situatie erg vervelend vindt of zelfs bang wordt.
We schakelen de ziekenhuispsychiater in als u erg in de war bent. Hij of zij onderzoekt waardoor u in de war bent. Soms krijgt u medicijnen tegen de delier.
Misselijkheid
Bent u misselijk? Zeg dit dan tegen de verpleegkundige. Als dat nodig is, krijgt u medicijnen tegen de misselijkheid.
Internist ouderengeneeskundige
Bent u 70 jaar of ouder? Dan komt de internist ouderengeneeskunde bij u langs. Deze arts is gespecialiseerd in de zorg voor oudere patiënten. De internist ouderengeneeskunde zal uw geestelijke en lichamelijke gezondheid controleren. De arts kijkt bijvoorbeeld of u last heeft van botontkalking (osteoporose), een delier, de medicijnen die u krijgt, te weinig vitaminen, enzovoorts.
Bezoek van vrijwilligers
In HMC geven getrainde vrijwilligers extra aandacht aan oudere patiënten. Ouderen lopen het risico om tijdens hun opname in het ziekenhuis verward te raken of lichamelijk achteruit te gaan. We kunnen dit soms voorkomen door ouderen extra te begeleiden en te stimuleren.
De verpleegkundigen of de internist ouderengeneeskunde schakelen de vrijwilligers in als dat nodig is. Een vrijwilliger komt dan bijvoorbeeld langs om een praatje met u maken. Het kan ook zijn dat de vrijwilliger samen met u eet of een spelletje met u doet.
Wat u zelf kunt doen voor uw herstel
- Probeer goed te eten. Dat is belangrijk voor uw herstel na een operatie. Lukt eten niet goed? Of bent u in de afgelopen tijd afgevallen? Dan komt de diëtiste bij u langs.
- Drink 1,5 liter per dag. U heeft namelijk veel vocht nodig na de operatie. Via het infuus krijgt u extra vocht binnen. Maar ook nadat we het infuus hebben weggehaald, is het belangrijk dat u verdeeld over de dag minimaal 1,5 liter drinkt. Vindt u het moeilijk om genoeg te drinken? Neem dan een literfles en vul die met water. Drink de fles verdeeld over de dag leeg. Samen met de kopjes thee of koffie die u drinkt, komt u dan op een totaal van 1,5 liter.
- Probeer zoveel mogelijk uit bed te komen. U hoeft overdag niet in bed te blijven. Het is zelfs beter voor uw herstel als u zo snel mogelijk uit bed komt. De verpleegkundige en de fysiotherapeut zullen u hierbij helpen. U kunt bijvoorbeeld aan tafel eten of lezen.
Fysiotherapie op de verpleegafdeling
Meestal mag u de heup al op de eerste dag na de operatie weer gewoon gebruiken. De zaalarts zal het u vertellen als dit niet mag.
Het is belangrijk dat uw heup soepel blijft en dat uw spieren weer sterk worden. U moet daarom veel oefenen. Daar heeft u hulp van een fysiotherapeut bij nodig. De fysiotherapeut komt op de eerste dag na de operatie al bij u langs, ook in het weekend.
De eerste dag
- De fysiotherapeut komt bij u langs. Hij of zij stelt u een aantal vragen over hoe het ging voor u uw heup brak. Bijvoorbeeld over hoe goed u toen kon bewegen.
- De fysiotherapeut helpt u om te gaan zitten op de rand van het bed. Ook doet hij of zij beenoefeningen met u terwijl u op het bed zit. De fysiotherapeut kijkt verder of u al naast het bed kunt staan. Als dit lukt, probeert de fysiotherapeut samen met u een aantal passen te maken. Daarna gaat u zitten in een stoel naast het bed.
- De fysiotherapeut vertelt u welke oefeningen u de komende dagen zelf in bed en op de stoel kunt doen. Deze oefeningen zijn erg belangrijk om uw heup soepel te maken. Ze helpen ook om uw spieren sterker te maken. U moet deze oefeningen 3 tot 10 keer per dag zelf doen.
De tweede dag
- We brengen u naar de oefenzaal op de 1e verdieping. Daar probeert u samen met de fysiotherapeut een stukje te lopen in de loopbrug.
- Gaat het goed in de loopbrug? Dan start u met het lopen met een looprek, rollator of twee elleboogkrukken. Hierbij krijgt u hulp van de fysiotherapeut.
- Heeft u thuis trappen? Dan oefenen we ook het traplopen met u.
- De fysiotherapeut van het ziekenhuis schrijft een overdracht voor de fysiotherapeut waarmee u thuis of in het verpleeghuis gaat oefenen.
De derde dag
Bent u op de derde dag nog niet uit het ziekenhuis? Dan doet u dezelfde oefeningen als op dag 2. Soms oefent u ook met fietsen op de trapfiets.
Uit het ziekenhuis
Het Transferbureau
De aanvraag voor nazorg
Een complicatie is een medisch probleem wat soms gebeurt. Als u geen last van complicaties heeft, dan mag u op de derde dag na de operatie weg uit het ziekenhuis. We bereiden dit op tijd voor. De verpleegkundige vult binnen 24 uur na uw opname samen met u en/of uw contactpersoon de nazorgaanvraag in. We proberen dan meer informatie te krijgen over hoe u leefde en hoe goed u uzelf kon redden voordat u uw heup brak.
De transferverpleegkundige
Na de operatie komt een verpleegkundige van het Transferbureau bij u langs. De transferverpleegkundige bespreekt met u en eventueel uw contactpersoon welke zorg u nodig heeft nadat u weggaat uit het ziekenhuis. Dit gesprek gebeurt nadat de fysiotherapeut bij u langs is geweest. We weten dan beter wat er mogelijk en nodig is voor uw herstel.
De volgende punten komen tijdens het gesprek met de transferverpleegkundige aan bod:
- Welke zorg heeft u nodig als u weg mag uit het ziekenhuis?
- Is er mantelzorg voor u beschikbaar? Mantelzorg is hulp van iemand uit uw directe omgeving. Bijvoorbeeld een partner of kinderen.
- Kreeg u al andere vormen van zorg voordat u uw heup brak, zoals thuiszorg?
Afhankelijk van uw situatie bepalen we welke zorg u moet krijgen. Dat kan zijn:
- Thuiszorg: meestal gaat het dan om hulp bij de persoonlijke verzorging, zoals wassen en aan- en uitkleden. Als het nodig is, kan de thuiszorg ook uw wonden verzorgen en helpen bij het aantrekken van steunkousen. De thuiszorg kan verder helpen met bijvoorbeeld het op tijd innemen van medicijnen.
- Opname in een verpleeghuis: Soms moet u (tijdelijk) naar een verpleeghuis. U gaat dan naar een verpleeghuis dat is gespecialiseerd in het herstel van ouderen die een heup hebben gebroken. Zorgen dat u zich weer zo goed mogelijk thuis kunt redden, is een belangrijk doel van de revalidatie in het verpleeghuis. Stap voor stap werkt u aan het weer terug gaan naar huis.
- Zorghotel, maaltijdvoorzieningen, alarmering en hulpmiddelen: De transferverpleegkundige kan u adviseren op het gebied van allerlei voorzieningen. Wij geven u graag informatie als u dat wilt. Wij kunnen deze voorzieningen helaas niet voor u aanvragen.
Contactgegevens
De transferverpleegkundige beantwoordt graag alle vragen die u heeft over het traject na de ziekenhuisopname. Voor meer informatie kunt u of uw contactpersoon bellen met het Transferbureau via telefoonnummer 088 979 70 55. Mailen kan ook, via e-mailadres: transfer@haaglandenmc.nl.
De verpleegkundige
Het ontslaggesprek
Op de dag dat u uit het ziekenhuis gaat, hebben u en/of uw contactpersoon een gesprek met een verpleegkundige. Dit gesprek heet het ontslaggesprek. U krijgt dan informatie over de controle afspraken in het ziekenhuis en uw medicijnen. Ook krijgt u een medicijnlijst mee en brieven voor andere zorgverleners. Hebben u of uw contactpersoon nog vragen? Stel ze gerust tijdens het ontslaggesprek. U kunt uw vraag ook hieronder aankruisen als u dat wilt.
Vragen ontslaggesprek
Geheugensteuntje. Kruis hieronder de vragen aan die u wilt bespreken tijdens het ontslaggesprek.
☐ Wat mag ik wel en niet doen met mijn heup?
☐ Hoe zwaar mag ik mijn de heup belasten?
☐ Wat kan ik thuis doen als ik pijn heb?
☐ Bij welke klachten moet ik contact opnemen met het ziekenhuis?
☐ Met welke afdeling en hoe moet ik contact opnemen?
☐ Welke nieuwe medicijnen krijg ik en waarom?
☐ Welke bijwerkingen hebben mijn medicijnen?
☐ Wanneer moet ik terugkomen voor controle op de polikliniek?
☐ Schrijf hieronder eventuele andere vragen op:
___________________________________________________________________
___________________________________________________________________
___________________________________________________________________
___________________________________________________________________
___________________________________________________________________
Medicijnen
De zaalarts schrijft medicijnen voor. Die moet u gebruiken nadat u uit het ziekenhuis komt.
Gaat u naar huis? Dan krijgt u de recepten mee. U of iemand uit uw omgeving kan de medicijnen dan ophalen bij uw eigen apotheek. U kunt de medicijnen ook ophalen bij de apotheek in de centrale hal van HMC Westeinde.
Gaat u naar een verpleeghuis, zorghotel of andere instelling? Dan krijgt u daar de medicijnen.
Contant geld
We vragen u of uw familie of u zelf vervoer kunt regelen als u vertrekt uit het ziekenhuis. Lukt dat niet? Dan zorgen wij voor een rolstoeltaxi. U heeft in dat geval contant geld nodig op de dag van vertrek uit het ziekenhuis. Daarmee kunt u de kosten betalen van de rolstoeltaxi. Voor de regio Den Haag zijn die kosten 50 euro, buiten de regio Den Haag zijn de kosten hoger. Het geld voor de taxi kunt u een dag voordat u het ziekenhuis verlaat laten opbergen in een kluisje op de verpleegafdeling.
Vragen en adviezen
Heeft u nog vragen, begrijpt u iets niet of gaat iets anders dan u had verwacht? Laat het ons weten. We geven u graag antwoord en lossen ook graag een probleem voor u op.
Nadat u weg bent uit het ziekenhuis is het belangrijk dat u:
- Goed eet en drinkt.
- Bij pijn of complicaties belt met de verpleegafdeling (telefoonnummer 088 979 21 92).
- Goed oplet dat u geen doorligwonden krijgt.
- Uw oefeningen regelmatig en goed blijft doen.
De heupfractuurpolikliniek
We blijven nadat u uit het ziekenhuis weg bent regelmatig controleren of het genezen van uw gebroken heup goed gaat. Voor deze controle afspraken zien wij u graag terug op onze speciale heupfractuurpolikliniek.
Kunt u niet naar de polikliniek komen? Of kunt u niet goed meer herstellen van uw gebroken heup? Dan hoeft u niet naar de heupfractuurpolikliniek te komen. De huisarts of de verpleeghuisarts (specialist ouderengeneeskunde) kijken dan hoe het met u gaat.
Wanneer heeft u controles
U krijgt controles op de heupfractuurpolikliniek:
- 6 weken na het breken van uw heup
- 3 maanden na het breken van uw heup
- 1 jaar na het breken van uw heup
De afdelingssecretaresse van de verpleegafdeling geeft u de eerste 2 afspraken mee op een afspraakkaart. Het kan zijn dat we u voor een afspraak vragen om eerst een röntgenfoto van uw heup te laten maken. Dit staat dan op uw afsprakenkaart.
Wat controleren we
U heeft op de heupfractuurpolikliniek afspraken met meerdere zorgverleners:
- De doktersassistente neemt enkele vragenlijsten met u door. Die gaan over hoe het met u gaat in uw dagelijkse leven. Maar we vragen u bijvoorbeeld ook of u bang bent om te vallen.
- De fysiotherapeut doet enkele testen met u. Ook onderzoekt de fysiotherapeut u. Zo ziet hij of zij of uw heup weer helemaal goed werkt en of uw heup sterk genoeg is. Verder onderzoekt de fysiotherapeut of uw evenwicht in orde is. Als dat nodig is, geeft de fysiotherapeut in het ziekenhuis adviezen mee voor de fysiotherapeut waarmee u normaal gesproken oefent.
- De internist ouderengeneeskunde kijkt naar het risico op botontkalking en naar de medicijnen die u gebruikt. Ook bespreekt de internist ouderengeneeskunde met u hoe het thuis gaat.
- De chirurg (orthopeed of traumachirurg) kijkt hoe goed uw wond en bot genezen. Ook kijkt hij of zij of u last heeft van complicaties. Daarbij gebruikt de chirurg onder andere de röntgenfoto’s die u voor de afspraak heeft laten maken.
- Deze onderzoeken en gesprekken zijn nodig om een zo goed mogelijk beeld van u te krijgen. We kunnen u dan verder helpen met uw herstel. Het bezoek aan de polikliniek duurt bij elkaar ongeveer 2 uur.
Waar is de heupfractuurpolikliniek
De heupfractuurpolikliniek is in Gezondheidscentrum Hubertusduin naast HMC Bronovo. Als u via de hoofdingang van HMC Bronovo naar buiten loopt, ziet u het gebouw aan uw linkerhand. Meldt u zich in Gezondheidscentrum Hubertusduin alstublieft bij de polikliniek Ouderengeneeskunde, route 107, op de begane grond.
Wetenschappelijk onderzoek
HMC Westeinde is gespecialiseerd in de behandeling van gebroken heupen. Wij doen ook veel onderzoek naar de beste behandeling voor heupfracturen. Het kan zijn dat we u vragen om mee te doen aan 1 van deze onderzoeken. U mag zelf beslissen of u meedoet met zo’n onderzoek.
Ook als u niet aan een onderzoek meedoet, gebruiken we de gegevens van uw behandeling. Bijvoorbeeld om de kwaliteit van de zorg te meten. Of voor anoniem onderzoek. Ook bewaren we materialen die overblijven na de behandeling. Bijvoorbeeld bloed. Alle gegevens die wij op deze manier verzamelen, zijn anoniem. Niemand kan ooit zien dat de gegevens over u gaan.
Wilt u toch niet dat we deze anonieme gegevens gebruiken voor onderzoek? Geef dit dan het liefst schriftelijk door aan een verpleegkundige of arts. Dan nemen we uw gegevens niet op in onze database. Voor uw behandeling maakt het niet uit of u wel of niet meedoet met onderzoek en of we uw anonieme gegevens mogen gebruiken voor onderzoek of niet.
Belangrijke adressen en telefoonnummers
- Afdeling C11
HMC Westeinde
11e verdieping
Telefoonnummer 088 979 21 92
Bezoektijden dagelijks 15.30 – 19.30 uur.
Maximaal 2 bezoekers per patiënt.
Bezoek buiten de bezoektijden graag alleen in overleg met de verpleging. - Afdeling Fysiotherapie
HMC Westeinde
2e verdieping, route rood
Telefoonnummer 088 979 23 23
Telefonische bereikbaarheid: Maandag t/m vrijdag: 08.00 – 17.00 uur. - Afdeling Spoedeisende Hulp (SEH)
HMC Westeinde
Telefoonnummer 088 979 00 00
Geopend 24 uur per dag. - Intensive Care
HMC Westeinde
3e verdieping
Telefoonnummer 088 979 21 19
Telefonische bereikbaarheid: 24 uur per dag.
Belt u echter bij voorkeur niet tijdens de verpleegkundige overdracht op
de volgende tijden: 07.30 – 08.00 uur, 15.00 – 15.30 uur en 23.00 – 23.30 uur. - Heupfractuurpolikliniek Hubertusduin
Gezondheidscentrum Hubertusduin
begane grond, route 107
Telefoonnummer 088 979 53 86
Telefonische bereikbaarheid: Maandag en woensdag: 13.00 – 16.30 uur. - Polikliniek Orthopedie
HMC Bronovo
begane grond, route 8
Telefoonnummer 088 979 53 62
Telefonische bereikbaarheid: Maandag t/m vrijdag: 08.00 – 16.30 uur. - Polikliniek Traumachirurgie
HMC Bronovo
1e verdieping, route 23
HMC Westeinde
begane grond , route rood
Telefoonnummer 088 979 43 59
Telefonische bereikbaarheid: Maandag t/m vrijdag: 08.00 – 17.00 uur. - Transferbureau
HMC Westeinde
Telefoonnummer 088 979 70 55
e-mail: transfer@haaglandenmc.nl
Telefonische bereikbaarheid: Maandag t/m vrijdag: 08.00 – 16.30 uur.
We willen graag dat iedereen onze patiënten informatie begrijpt. Heeft u een opmerking over de tekst hierboven? Mail deze dan naar n.houben@haaglandenmc.nl. Dank u wel voor uw feedback!