Onderzoeken endometriose
Het multidisciplinaire behandelteam van Endometriose in Balans bestaat uit verschillende specialisten. Zij zijn bekend met de symptomen van endometriose en hebben veel ervaring met het vaststellen van de diagnose, waardoor er mogelijk minder onderzoeken nodig zijn die belastend zijn voor de patiënt.
Specialismen en team
Afspraak en contact
Voor diagnose en behandeling van endometriose 088 979 44 89
Wij zijn op werkdagen bereikbaar van 08.30 – 12.00 uur en van 13.30 – 16.30 uur.
info@endometrioseinbalans.nl
(vermeld telefoonnummer en patiëntnummer)
HMC Cijfers
In Nederland hebben zo’n
400.000
vrouwen endometriose waarvan
40.000
vrouwen de ernstige vorm
.
Endometriose openbaart zich vanaf de eerste menstruatie
, rond de
13
jarige leeftijd
, tot en met de overgang rond
60
jaar
Anchors
Onderzoeken bij endometriose
Om endometriose vast te stellen hebben wij binnen het expertisecentrum Endometriose in Balans een werkwijze ontwikkeld die niet invasief is. Invasief betekent dat er bij een medisch onderzoek geen instrumenten in het lichaam worden ingebracht.
De verschillende gynaecologische onderzoeken zijn:
- een inwendig onderzoek
- een echoscopie en MRI
Inwendige onderzoek
Bij je eerste afspraak op de polikliniek neemt de verpleegkundige de vragenlijst met je door die je vooraf thuis heb ingevuld. Deze vragenlijst heet de ‘kwaliteit van leven score’. Je krijgt alle tijd om over je klachten te vertellen.
Daarna heb je een afspraak met de gynaecoloog voor onderzoek en het maken van een inwendige echo (echografie). Bij een inwendig onderzoek voelt en kijkt de gynaecoloog via de vagina of er endometriosehaarden aanwezig zijn rond de baarmoedermond. Tijdens dit onderzoek stelt de gynaecoloog ook vragen over je klachten.
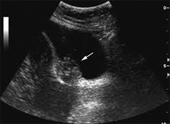
Inwendig echo onderzoek
Op een echo zijn ook organen in het kleine bekken te zien. Dit zijn de vagina, baarmoeder, eileiders en de eierstokken. Maar ook de blaas en de endeldarm. Omdat onze gynaecologen bekend zijn met endometriose herkennen ze de kenmerken op de echo. De uitslag van het echografisch onderzoek is direct beschikbaar. De gynaecoloog kan dus aan het eind van je afspraak aangeven of je of endometriose hebt en in welke mate. Blijkt na je eerste afspraak dat er aanvullend onderzoek nodig is dan wordt een MRI-scan gemaakt.

Expertise echo endometriose in de blaaswand
De MRI-scan
Bij een MRI wordt er een beeld gemaakt van de hele buik. Hiervoor moet een aparte afspraak gemaakt worden bij de afdeling Radiologie. De MRI-scan wordt ook beoordeeld door de radioloog. Het kan dus niet direct door de gynaecoloog zelf in de spreekkamer worden gedaan. Ook bij een MRI is het belangrijk dat de radioloog bekend is met de kenmerken van endometriose voor het vaststellen of uitsluiten van endometriose.

MRI van radioloog met kennis van adenomyosis of endometriosis interna
“Binnen Endometriose in Balans zijn wij voortdurend op zoek naar het verbeteren van de radiologische technieken om patiënten al snel duidelijkheid te geven over de diagnose endometriose”
(O. Henneman, radioloog Endometriose in Balans)
Combinatie MRI en echo – fusion onderzoek
Een combinatie van MRI en echo is ook mogelijk. Dit heet fusion onderzoek. Binnen het expertisecentrum Endometriose in Balans wordt onderzocht welke voordelen fusion onderzoek heeft voor een nog betere diagnostiek bij endometriose.
Meer informatie en beelden over dit onderzoek is te vinden in de presentatie diagnostiek bij endometriose van Judith Berger, gynaecoloog bij Endometriose in Balans.
Behandeling endometriose
Bij Endometriose in Balans vinden wij het belangrijk dat de patiënt goed geïnformeerd is en voorbereid op de behandeling.
De patiënt heeft daarbij de regie over haar eigen behandelplan. De specialisten van het multidisciplinaire team zijn goed bekend met endometriose en overleggen met elkaar. Samen met het behandelteam bepaal je wat in jouw situatie het beste behandelplan is en of er mogelijke alternatieve behandelingen bestaan.
Wil je weten welke behandelingen er zijn? Bekijk dan de pagina: Behandeling endometriose
Hoe weet je of je endometriose hebt?
Voor een diagnose of behandeling van endometriose kun je met een verwijzing van je specialist of huisarts terecht bij de specialisten van Endometriose in Balans.
- 088 979 44 89
- ma t/m do van 08.30 – 12.00 uur en 13.30 – 16.30 uur
- info@endometrioseinbalans.nl
- (vermeld telefoonnummer en patiëntnummer)


Iedere patiënt is anders en verdient een persoonlijke en gerichte aanpak bij endometriose. Kijk voor meer informatie over het expertisecentrum in HMC Bronovo ook op:
www.endometrioseinbalans.nl