Lokalisatie van een tumor met een radioactief zaadje
Bij een tumor in de borst of lymfeklier
U wordt binnenkort geopereerd aan uw borst(en) en/of oksel. Voor de operatie wordt een lokalisatie gedaan. Met een lokalisatie wordt de precieze plaats van de afwijking in de borst of oksel gemarkeerd met een radioactief jodiumzaadje (Jodium-125). Deze webpagina informeert u over de voorbereidingen die nodig zijn om het onderzoek goed te laten verlopen.
De lokalisatie gebeurt op de afdeling Radiologie op HMC Antoniushove. Wilt u zich 10 minuten vóór de afspraaktijd melden bij de receptie van de afdeling Radiologie?
Specialismen en team
Afspraak en contact
HMC Antoniushove
HMC Bronovo
HMC Westeinde
088 979 46 00
HMC Gezondheidscentrum Wassenaar 088 979 72 45
ma t/m vr van 08.00 – 16.30 uur
Locatie
HMC Cijfers
HMC heeft:
4
CT-scanners
4
MRI-scanners
(verdeeld over 3 locaties)
Anchors
Over lokalisatie van een tumor met een radioactief zaadje
U wordt binnenkort geopereerd aan uw borst(en) en/of oksel. Voor de operatie wordt een lokalisatie gedaan. Met een lokalisatie wordt de precieze plaats van de afwijking in de borst of oksel gemarkeerd met een radioactief jodiumzaadje (Jodium-125).
Deze webpagina informeert u over de voorbereidingen die nodig zijn om het onderzoek goed te laten verlopen.
De lokalisatie gebeurt op de afdeling Radiologie op HMC Antoniushove. Wilt u zich 10 minuten vóór de afspraaktijd melden bij de receptie van de afdeling Radiologie?
HMC-patiëntenpas
Als u naar het ziekenhuis komt, neemt u dan alstublieft uw HMC-patiëntenpas mee. Heeft u geen HMC-patiëntenpas of zijn uw gegevens veranderd? Dan kunt u de patiëntenpas vóór het onderzoek laten maken of de gegevens aanpassen. Dit kan bij de inschrijfbalie in de centrale hal. Wilt u in dat geval 15 minuten eerder naar het ziekenhuis komen, zodat u op tijd bent voor uw afspraak?
Verhinderd
Bent u op het afgesproken tijdstip verhinderd, bel dan zo snel mogelijk (uiterlijk 24 uur vòòr de afspraak) met de afdeling Radiologie om uw afspraak af te zeggen of te verplaatsen. De opengevallen plaats kan dan voor een andere patiënt worden gebruikt. Bellen kan op werkdagen van maandag tot en met vrijdag van 08.00 tot 16.30 uur via telefoonnummer 088 979 46 00.
Houdt u bij het afzeggen of verplaatsen van uw afspraak rekening met uw vervolgafspraak bij de arts die het onderzoek voor u heeft aangevraagd. Niet of te laat afgemelde afspraken worden in rekening gebracht.
Lokalisatie
Soms is de tumor in de borst zo klein of diep gelegen, dat deze niet goed voelbaar is. De tumor is soms ook niet meer goed voelbaar na de behandeling met chemotherapie. De chirurg heeft dan voor de operatie een hulpmiddel nodig om de precieze plaats van de afwijking te bepalen. Door op de plaats van de afwijking in de borst of de oksel een markering te plaatsen, weet de chirurg waar de afwijking zit. Het plaatsen van zo’n markering noemen we een lokalisatie. Vóór de lokalisatie wordt met echografie of röntgenopnamen de plek bepaald. Dan wordt er een holle naald met daarin de markering, een radioactief jodiumzaadje, in de borst of oksel gebracht. Als de holle naald op zijn plaats is, wordt de naald verwijderd en blijft het radioactieve zaadje achter.
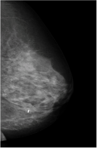
Het zaadje is vier millimeter groot. Het geeft een hele lage dosis straling af, die niet schadelijk is voor uw gezondheid of die van uw omgeving. Tijdens de operatie wordt de straling van de markering met een detector gemeten. Op deze manier kan de afwijking in de borst of lymfeklier opgespoord worden. Daarna wordt de afwijking met het zaadje uit uw borst of lymfeklier verwijderd. De operatie kan kort na de plaatsing van het zaadje uitgevoerd worden, maar er kunnen ook weken tot maanden tussen zitten. Onderstaande foto’s zijn een voorbeeld van een borst waarin de tumor is gelokaliseerd met een radioactief zaadje.

Een röntgenopname van een borst waarin de tumor is gelokaliseerd met een radioactief zaadje.

Een röntgenopname van het borstweefsel met de afwijking en het radioactieve zaadje, die tijdens de operatie verwijderd zijn.
Voorzorgsmaatregelen
Pijnstillende medicatie
Deze behandeling gebeurt onder plaatselijke verdoving. Daarnaast kunt u één uur voor de afspraaktijd nog één tot twee tabletten paracetamol innemen voor een extra pijnstillende werking.
Bloedverdunners
Gebruikt u bloedverdunnende medicijnen, bijvoorbeeld Sintrom® of Marcoumar®? In overleg met de arts moet u hier enkele dagen vóór de behandeling tijdelijk mee stoppen. Is dit niet met u besproken of heeft u hier vragen over? Neemt u dan contact op met de verpleegkundig specialist of het Borstcentrum.
Huidverzorging
Gebruik enkele dagen voor het onderzoek geen talkpoeder op uw borsten en op de dag van het onderzoek geen bodylotion of crème.
Kledingvoorschrift
Voor het onderzoek moet u de kleding van het bovenlichaam uitdoen. Het is voor u prettig wanneer u kleding draagt die u gemakkelijk aan en uit kunt trekken. Voor direct na het onderzoek adviseren wij u om een stevige bh te dragen voor ondersteuning en tegendruk van de borst.
Waardevolle zaken
Wij raden u aan waardevolle zaken zoveel mogelijk thuis te laten. Het ziekenhuis is niet aansprakelijk voor vermissing of beschadiging van uw persoonlijke eigendommen.
Het onderzoek
In de onderzoekkamer neemt u plaats op de onderzoekstafel. De radioloog en de assistenten zullen u tijdens het hele onderzoek begeleiden. De radioloog bepaalt met de echografie of röntgenopname de juiste plaats voor de lokalisatie. De huid wordt ontsmet en de borst en/of oksel plaatselijk verdoofd. Met de verdoving zal het markeren van de afwijking bijna geen pijn doen. Er wordt een speciale naald met daarin het jodiumzaadje in de borst gebracht. Als op de beelden te zien is dat de punt van de naald goed ligt, dan wordt het zaadje in de borst achtergelaten en de naald verwijderd. Direct na de plaatsing wordt er wat druk op de borst of oksel uitgeoefend om een eventuele bloeduitstorting te verminderen. Daarna worden er met de mammografie of röntgenapparaat nog controle opnamen gemaakt. Na de foto’s wordt het wondje met een waterdichte pleister afgedekt.
Het onderzoek duurt ongeveer 20 minuten.
Na het onderzoek
Na het onderzoek kunt u naar huis. Uw borst en/of oksel kan na de biopsie pijnlijk en blauw worden. Hier hoeft u zich geen zorgen over te maken. U kunt bij pijnklachten twee tabletten paracetamol 500 mg innemen. Dit kunt u eventueel herhalen na enkele uren.
Let op: neem maximaal zes tabletten per dag in.
Druk op de wond
Draag een stevige bh na het onderzoek om onderhuids nabloeden tegen te gaan. Meestal ontstaat er toch een blauwe plek. Deze verdwijnt vanzelf weer. Als u hier veel pijn aan heeft, kunt u de borst en/ of oksel eventueel koelen met een coldpack of u kunt paracetamol innemen.
Wondverzorging
De wond mag de komende uren niet nat worden om goed te kunnen genezen. Laat de waterdichte pleister tot de volgende ochtend zitten. De pleister kunt u dan tijdens het douchen het makkelijkst verwijderen.
Straling
Het jodiumzaadje is niet gevaarlijk voor u of uw omgeving. De straling die het zaadje uitzendt, wordt door het weefsel in de borst sterk verzwakt en is minimaal voor uw omgeving. Voor de mensen in uw omgeving zijn er geen voorzorgsmaatregelen nodig.
Complicaties
Er kan op de plek van de markering een infectie ontstaan. Neem contact op met de afdeling Radiologie of met uw contactpersoon van het Borstcentrum, bij:
- Toenemende roodheid of zwelling van de borst,
- Koorts of
- Hevige pijnklachten.
Buiten kantooruren kunt u bellen met de Spoedeisende Hulp. Geef aan de telefoniste door dat u voor een lokalisatie bent geweest. U wordt dan met iemand doorverbonden, die uw vraag kan beantwoorden.
Vragen
Heeft u vragen over het onderzoek? Dan kunt u bellen met de afdeling Radiologie. De afdeling Radiologie is bereikbaar van maandag tot en met vrijdag van 08.00 tot 16.30 uur
via telefoonnummer 088 979 46 00. Ook voor, tijdens of na het onderzoek kunt u vragen stellen.
U kunt voor andere vragen bellen met uw contactpersoon van het Borstcentrum.
Het telefoonnummer van het Borstcentrum is 088 979 47 80.
Bellen kan op werkdagen van maandag tot en met vrijdag tussen 08.00 tot 17.00 uur.
Bij acute problemen buiten kantooruren kunt u bellen met de Spoedeisende Hulp (SEH) van
HMC Westeinde via telefoonnummer 088 979 23 80.